Cosmetic Dentistry
Hotline

Touch To Call
000-000-0000

Request
Appointment

Touch To
Request

Before & After

Life-Changing Stories in Charlotte

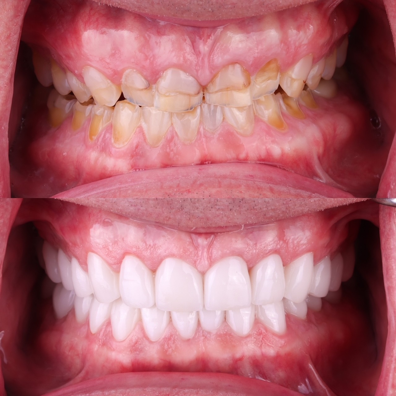
Cosmetic Smile Makeover
Patient: Pam from Charlotte, NC
by Dr. Christian Yaste

Before & After Smile Makeover Photos

Meet Pam, she was tired of looking years older than she was. Early childhood experiences with certain unsuccessful dental treatments eventually developed into avoidance of dental care in later years. This mild anxiety kept her from obtaining the routine care she knew that was needed. Now a young Charlotte NC business owner, she knew her smile was a detriment to her career. Pam knew the importance of lasting impressions and decided it was time to do something about it.

Pam wanted to be as comfortable as possible during the procedures and chose sedation that provided the added benefit of having longer appointments. Utilizing Waterlase technology that further promotes painless treatment, a gum lift was done with the Biolase hard/soft tissue Laser. To obtain the degree of “perfection” the patient was seeking, she elected to have 12 all porcelain Crowns placed and combined with bridgework.

The dramatic results can be observed in the pictures. Pam was quite taken back by how different she looked. She could not believe how much younger her smile makeover made her look. When called the following day after her new smile was placed, she exclaimed … “I just can’t stop smiling I’m so happy!”.
Cosmetic Smile Makeover
Patient: Gary from Gastonia, NC
by Dr. Joseph Hufanda

Before & After Smile Makeover Photos

Gary is from Gastonia NC and wasn’t happy with his smile. His top front teeth were really forward over the lower teeth which resulted in a “bucky” profile. He wanted to improve his smile and came to Ballantyne Center for Dentistry in Charlotte, NC for a dental consult. We discussed the pros and cons of putting porcelain veneers on the front surfaces of his top teeth without moving the teeth backward. This would only accentuate the profile which he did not desire. We opted to have Gary go through pre-treatment orthodontics to move the front teeth back into a more normal profile. The “before” photos are actually taken after he had completed his orthodontics. We then placed six Finesse porcelain veneers and two full porcelain crowns on his top teeth. He was ecstatic with the results. He now has a more esthetic, youthful smile which he is very proud of and shows off at every opportunity.
Dental Veneers
Patient: Tom from North Carolina
by Dr. Christian Yaste

Before & After Smile Makeover Photos

Tom lives in North Carolina and is a retired Architect and found his way to our office because he was constantly having issues with his teeth. Tom is in his sixties and has suffered from severe erosion and wear on his teeth. As the wear and erosion got worse over time, teeth started chipping and breaking. In Tom’s case the erosion was caused by acidic soft drinks over time, about 15 years. Diet Coke was what he liked to drink and the acid in this beverage slowly removed the protective enamel covering of his teeth.

Tom rarely smiled with his mouth open in pictures. He had never been completely satisfied with his smile, but when it was time to fix his teeth we wanted to make sure that his smile reflected his personality! Erosion and wear on teeth is a functional dental problem that should always be addressed before it gets to far along as to avoid unnecessary dental procedures like root canals and core build-ups.

In order to restore Tom’s teeth, we created a diagnostic wax-up of what the teeth would look like afterward so he could visualize the outcome and we could use this as a template to create temporary crowns for him to try out. When he was satisfied with the new look and feel, we had the laboratory create new dental porcelain crowns out of a very strong porcelain made by Ivoclar, called “EMAX”. Emax has all of the beautiful properties of some of the older porcelains but is 4 times stronger.

As you can see from his pictures this smile makeover was fantastic and now Tom can’t help but show his teeth every time he smiles!
Smile Makeover Using Dental Veneers and Bonding
Patient: Alex from Charlotte, NC
by Dr. Christian Yaste

Before & After Smile Makeover Photos

Alex came to us unhappy with his broken front teeth and the discoloration of his smile. He had previously had some dental bonding and tooth fillings in the front teeth but they didn’t match his teeth anymore. Alex was extremely afraid of the dentist as well. Bad experiences as a child had kept him away from dental care for some time. We discussed his options and decided that six Empress brand porcelain laminates or dental veneers would significantly improve his smile. These dental veneers or laminates are made from the highest quality porcelain available and as you can see look incredibly natural. The procedure was performed while Alex slept (sedation dentistry). It took a total of 2 visits to transform his smile and no pain!

Sedation Dentistry is ideal if you are like Alex and have high dental fear or dental phobia.

Dental Implant Before & After Photos

Before
After
Before
After
Before
After
Before
After
Before
After
Before
After
Before
After
Before
After
Before
After

Text Us for Fast Help. No Phone Call Needed.

Fill in your name and mobile number below, tap Text Now, and our team will reply within minutes to lock in a same-week appointment.
Your Name(Required)
Ask me anything to start a conversation.
phone-squarecalendar-o linkedin facebook pinterest youtube rss twitter instagram facebook-blank rss-blank linkedin-blank pinterest youtube twitter instagram